۱۴۰۴ چهارشنبه ۱۹ آذر

فناوری نوین

سامسونگ چهار جایزه بهترین نوآوری CES 2025 را کسب کرد

ICTPRESS - شرکت سامسونگ اعلام کرد که جدیدترین محصولات و خدمات این شرکت موفق شدند جوایز نوآوری CES 2025، شامل چهار جایزه «بهترین نوآوری» را از انجمن فناوری‌های مصرفی (CTA) دریافت کنند.

برخط جهان فناوری ۲۳ نوامبر را دنبال کنید

ICTPRESS - عناوین برگزیده اخبار فناوری‌های نوین در ایران و جهان (۲۳ نوامبر) را در ادامه می‌خوانید.

10 دلیل برای انتخاب تبلت‌های جدید سری Galaxy Tab S10 سامسونگ

ICTPRESS - تبلت‌های سری جدید Tab S10 با رویکردی فناورانه و مجهز به هوش مصنوعی، تجربه‌ای متفاوت از کار با تبلت را به کاربران ارائه می‌دهند.

ابتکار نستله ایران در بهینه‌سازی منابع آبی در صنعت

ICTPRESS – ایران با بحران آب روبه‌روست و مدیریت صحیح منابع آبی و کاهش مصرف آب در صنایع این کشور اهمیت ویژه‌ای دارد. نستله ایران با درک این مسئله، برنامه‌هایی برای کاهش مصرف آب در کارخانه‌های خود اجرا

گوگل لپ‌تاپ پیکسل را برای رقابت با مک‌بوک و سرفیس می‌سازد

ICTPRESS - احتمالاً لپ‌تاپ جدید گوگل با سیستم‌عامل اندروید و سخت‌افزار قدرتمند برای رقابت با لپ‌تاپ‌های اپل و مایکروسافت رونمایی می‌شود.

برخط جهان فناوری ۱۹ نوامبر را دنبال کنید

ICTPRESS - عناوین برگزیده اخبار فناوری‌های نوین در ایران و جهان (۱۹ نوامبر) را در ادامه می‌خوانید.

سامسونگ به پروژه سنجش تاثیرات کربن دستگاه‌های متصل به اینترنت می‌پیوندد

ICTPRESS - شرکت سامسونگ اعلام کرد که با موسسه کربن تراست (Carbon Trust) و شرکت‌های بزرگ فناوری، برای دستیابی به روش‌های جدید اندازه‌گیری انتشار و کاهش کربن مرتبط با مرحله استفاده از دستگاه‌های الکترو

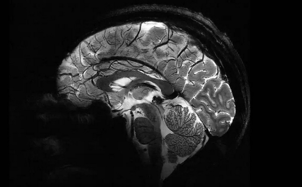
قدرتمندترین دستگاه MRI جهان ساخته شد

ICTPRESS - قدرتمندترین دستگاه ام‌آرآی جهان تصاویری از مغز انسان را در دسترس قرار داده که جزئیات و وضوح آن بی‌نظیر است.

تغییر سبک زندگی با لوازم خانگی مجهز به هوش مصنوعی سامسونگ

ICTPRESS - اپلیکیشن SmartThings با فناوری‌های مبتنی بر هوش مصنوعی خود، امکان رصد و کنترل سیستم‌های روشنایی، دما، امنیت و وضعیت تمامی دستگاه‎‌های متصل خانه شما را فراهم کرده است. این فناوری‌ها، از طریق

برخط جهان فناوری ۱۶ نوامبر را دنبال کنید

ICTPRESS - عناوین برگزیده اخبار فناوری‌های نوین در ایران و جهان (۱۶ نوامبر) را در ادامه می‌خوانید.