۱۴۰۴ جمعه ۰۸ اسفند

بیوتکنولوژی

درمان زخم دیابت با استفاده از میدان الکتریکی

ICTPRESS - محققان آمریکایی با استفاده از میدان الکتریکی موفق به درمان زخم های ناشی از دیابت شدند.

آزمایشهای جدید دانشمندان آمریکایی بر روی DNA انسان

ICTPRESS – کمیته فدرال آمریکا که تمام آزمایشهای DNA بر روی انسانها را زیرنظر دارد هفته آینده حکمش را در رابطه با CRISPR اعلام میکند.

بیماری ام اس درمان شد

ICTPRESS - محققان کانادایی با بکارگیری سلول‌های بنیادی موفق به درمان بیماری ام اس شدند.

چین بدنبال انجام نخستین عمل پیوند کل بدن انسان

ICTPRESS - دانشمندان چینی قصد دارند برای اولین بار یک عمل جراحی بلند پروازانه پیوند کل بدن انسان را انجام دهند.

راه اندازی نخستین مرکز جامع اهدای خون تا پایان خرداد

ICTPRESS - مدیرعامل سازمان انتقال خون کشور از راه اندازی نخستین مرکز جامع اهدای خون تا پایان خرداد در تهران خبر داد.

محققان ژاپنی موفق به ساخت میکروسکوپ رباتیکی شدند

ICTPRESS - این میکروسکوپ رباتیکی قادر به شناسایی مستمر حرکت سلول های عصبی در مغز است.

بررسی تاثیر رسانه‌های اجتماعی روی مغز نوجوانان

ICTPRESS - پژوهش جدید محققان دانشگاه کالیفرنیا در لس‌آنجلس حاکی از آن است که مدارهای مغزی مرتبط با شرط بندی و شکلات در مغز نوجوانان در زمان استفاده از رسانه‌های اجتماعی فعال میشوند.

امکان ترمیم پوست آسیب‌دیده به کمک نانوالیاف جدید

ICTPRESS - محققان دانشگاه پیام نور مرکز تبریز تلاش کردند با تولید نانوالیافی چند جزئی، پوست‌های آسیب‌دیده را ترمیم کنند.

ذخیره سازی دائمی داده روی سلول های زنده به کمک فناوری

ICTPRESS - دانشمندان دانشگاه هاروارد با استفاده از ابزاری خاص برای دستکاری ژن ها موسوم به CRISPR توانستند به فناوری ذخیره سازی دائمی داده روی سلول های زنده دست یابند.

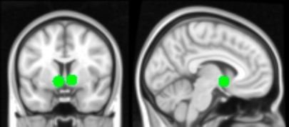
ساخت نانوالکترودی که وارد بخش‌های عمیق مغز میشود

ICTPRESS - محققان ژاپنی نانوالکترود طویلی ساختند که میتواند همانند یک سوزن وارد بافت‌های عمیق شده و اطلاعات مورد نظر پژوهشگران را ثبت کند.