۱۴۰۴ یکشنبه ۱۹ بهمن

فناوری نوین

نمونه اولیه استارشیپ منفجر شد

ICTPRESS - نمونه اولیه موشک استارشیپ طی آزمایش فشار در مقر بوکاچیکا شرکت اسپیس ایکس منفجر شده است.

تولید ربات پیشرفته با الهام از اختاپوس

ICTPRESS - محققان از تولید رباتی پیشرفته با الهام از اختاپوس خبر داده اند که می‌تواند با بازوی خود اشیای مختلفی را تحت کنترل گرفته و جابجا کند.

تخصصی‌ترین وبینار کسب و کار در بحران کرونا

ICTPRESS - ثبت نام برای شرکت در وبینار تخصصی آموزشی «نجات کشتی کسب و کار در توفان کرونا با ارائه دکتر کامران صحت» آغاز شد.

نیمکت‌آنلاین در بحران کرونا مدرسه را به خانه‌ها آورد

ICTPRESS - مجتمع دانش‌بنیان #دانش‌وفناوری_بامداد در راستای کمک به مدارس و آموزشگاه‌ها برای تجهیز به سیستم مدرسه آنلاین، سیستم دانش‌بنیان «نیمکت ‌آنلاین‌» را با شرایط سهل ارائه کرده است.

رشد هوآوی در بازار تبلت‌های هوشمند با محصولات نوآورانه

ICTPRESS - هوآوی علاوه بر گوشی‌های هوشمند، در بازار تبلت پیشرفت قابل توجهی داشته است. این شرکت با تولید محصولاتی به‌روز، از نوآوری‌های خود در صنعت ساخت تبلت استفاده کرده که منجر به رشد قابل توجه این شرکت در بازار تبلت‌ها شده است.

افشای اطلاعات صاحبان مشاغل به علت نقص امنیتی شرکت هوش مصنوعی

ICTPRESS - نقص امنیتی یک شرکت هوش مصنوعی به نام «کلیر ویو» باعث شده تا اسامی مشتریان آن و برخی اطلاعات حساس مربوط به افراد عادی در اینترنت منتشر شود.

برنامه ناسا برای بررسی مهم‌ترین سیارک هستی

ICTPRESS - ناسا تصمیم دارد فضاپیمایی را به سوی سیارک 16 Psyche ارسال کند تا پژوهش‌هایی را پیرامون این سیارک که معدن عظیم فلزات است، انجام دهد.

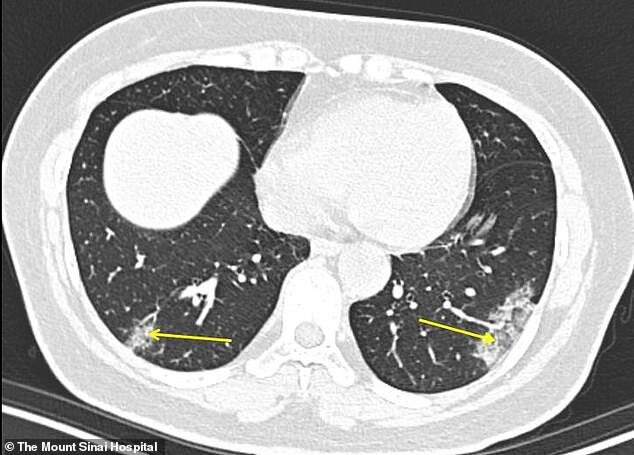
تشخیص کروناویروس ۴روز زودتر از پیش امکان‌پذیر شد

ICTPRESS - پژوهشگران اخیرا اعلام کرده‌اند با کمک سی‌تی اسکن می‌توان بیماری مهلک کروناویروس را چهار روز زودتر تشخیص داد.

تولید خودروی برقی سیتروئن دو نفره با پرداخت ۲۲دلار در ماه!

ICTPRESS - سیتروئن یک خودروی برقی ویژه استفاده در مناطق شهری تولید کرده که دو نفر گنجایش دارد و با پرداخت ۲۲ دلار در ماه قابل استفاده است.

تامین سامانه آموزش از راه‌دور برای مدارس و مراکز آموزشی و همکاری در اجرای آموزش‌های مدرسه آنلاین توسط بامداد

ICTPRESS - مجتمع دانش بنیان «دانش و فناوری بامداد»، یکی از مراکز نوین و دانش بنیان کشور در حوزه آموزش مجازی، آمادگی خود را برای تأمین زیرساخت سخت افزاری و نرم افزاری برای آموزشهای آنلاین مدارس و مراکز آموزشی اعلام کرد.